WEB予約

母指CM関節症

症状

ものをつまむ時や瓶のふたを開ける時などに親指の付け根に痛みが出ます。動作時に痛みが出ず、動作後に痛みが強く出ることもあります。進行すると親指のつけ根の関節(母指CM関節)が突出した変形がおき、親指が開きづらくなります。さらに進行すると親指の第2関節(MP関節)が過伸展し、この関節にも疼痛を生じるようになることがあります。

病態

母指CM関節は馬の鞍のような形の関節で、多方向に可動性を持ちます。このため、不安定性がおきやすいとされており、関節周囲の靭帯がゆるみやすく、変形性関節症へ進行すると考えられています。症状が進行すると亜脱臼が進んだり、CM関節の関節軟骨が摩耗したりして変形を生じます。(図1)

(図1)CM関節亜脱臼
(図1)CM関節亜脱臼

治療

保存療法には、エクオール製剤の摂取や消炎鎮痛剤の内服、ステロイド関節内注射、不安定性を抑えるための固定装具があります。これらで症状が改善しない、もしくは改善してもすぐに再発してしまう場合や変形が進行した症例では手術療法が適応となります。
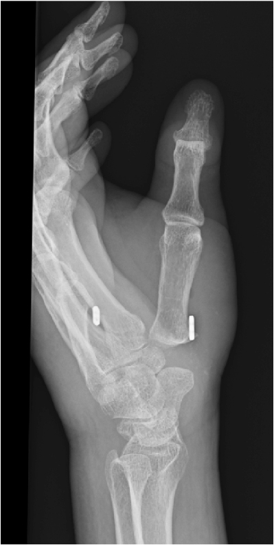
当院で行なっている手術療法には、関節固定術と関節形成術があります。関節固定術は痛みの出ているCM関節をチタン製のスクリューで固定する方法で、雪かきなどの力強い作業が多い方に適応となります。痛みはなくなりますが、関節を固定するため、親指を閉じることが難しくなります。一方、関節形成術は、痛みの原因となっている骨のうち、大菱形骨を全部もしくは部分的に摘出し、第1中手骨を人工紐で第2中手骨につり上げます(suture button suspension)。ピンチ力や握力が低下することがありますが、関節の動きを温存できるため、力強い作業よりは細かな作業をされる方に適応となります。この手術は低侵襲化が進んでおり、最近では、関節の状態により大菱形骨を摘出しない症例も出てきました。また、MP関節が過伸展した進行例では、MP関節をワイヤーで3週間まっすぐに仮固定をすることがあります。3週間の仮固定で過伸展がとれなそうな場合は、チタン製のスクリューでMP関節固定を行なうことがあります。(図2)

(図2)suture button suspension(Minitight rope Ⓡ suspension)
(図2)suture button suspension(Minitight rope ® suspension)

完全予約制のため、
Web・お電話にてご予約ください

Web予約はこちら
予約取得専用ダイヤル
03-4362-9400毎月第3火曜~金曜 14:00~16:00(※祝日除く)
  • ※受診希望月の3カ月前からご予約を承っております。
  • ※毎月第3火曜日に、3カ月後の予約枠を開放いたします。
  • ※第3火曜日が祝日の場合は、予約開放日を翌日(第3水曜日)に繰り越しさせていただきます。
  • ※全てのご予約に対し、一律1,100円のご予約料を申し受けます。